Cuidamos la salud de tu boca
con precisión y enfoque clínico
Abordamos cada caso desde la base: encías, tejidos y salud oral global. Tratamientos personalizados en periodoncia y medicina oral, con un enfoque preventivo, preciso y adaptado a cada paciente
¿Quién soy?
Ana Fuenmayor
Especialista en Periodoncia, Medicina Oral y Preventiva
Formación
-
Licenciatura en Odontología (2008-2013).
Universitat de València. -
Máster en Odontología Clínica Individual y Comunitaria (2013-2014).
Universitat de València. -
Máster en Periodoncia y Osteointegración (2016-2019).
Universitat de València. -
Medicina oral y preventiva en el paciente de alto riesgo (2024-2025).
OralmeDX academy.
Áreas de especialización
Periodoncia
La periodoncia es la especialidad de la odontología que se encarga de la prevención, diagnóstico y tratamiento de las enfermedades que afectan a la encía y a los tejidos de soporte de los dientes (hueso alveolar y ligamento periodontal). Su objetivo es mantener la salud para conservar los dientes naturales.
Medicina Oral y Preventiva
La medicina oral se ocupa del estudio, diagnóstico y tratamiento de las enfermedades de la boca y de las estructuras relacionadas, como mucosa oral, lengua, glándulas salivales y articulación temporomandibular. También aborda la detección precoz de lesiones potencialmente malignas, infecciones, alteraciones de la saliva y complicaciones orales relacionadas con enfermedades sistémicas o tratamientos médicos.
- Tratamiento de lesiones en mucosa… boca seca…
- Acompañamiento, prevención y cuidados durante el tratamiento por cáncer.
- Prevención de cáncer oral.
Pacientes
Signos clínicos de alarma
- Sangrado
- Movilidad
- Sensibilidad
- Cambios de color en mucosas o pigmentaciones
- Lesiones que no curan en dos semanas (ulcera...)
Autoexploración
La autoexploración oral es una sencilla práctica que cualquier persona puede realizar en casa para revisar el estado de su boca.
Consiste en observar, frente a un espejo y con buena iluminación, las encías, lengua, paladar, mejillas y labios para detectar cambios de color, heridas que no cicatrizan, bultos o manchas inusuales.
Realizar esta exploración completa habitualmente ayuda a identificar de manera temprana posibles problemas y consultar al especialista cuando sea necesario.
Casos clínicos
Fotos clínicas
Fibroma
Mucocele
Papiloma
Liquen
Enfermedades ampollares
Leucoplasia
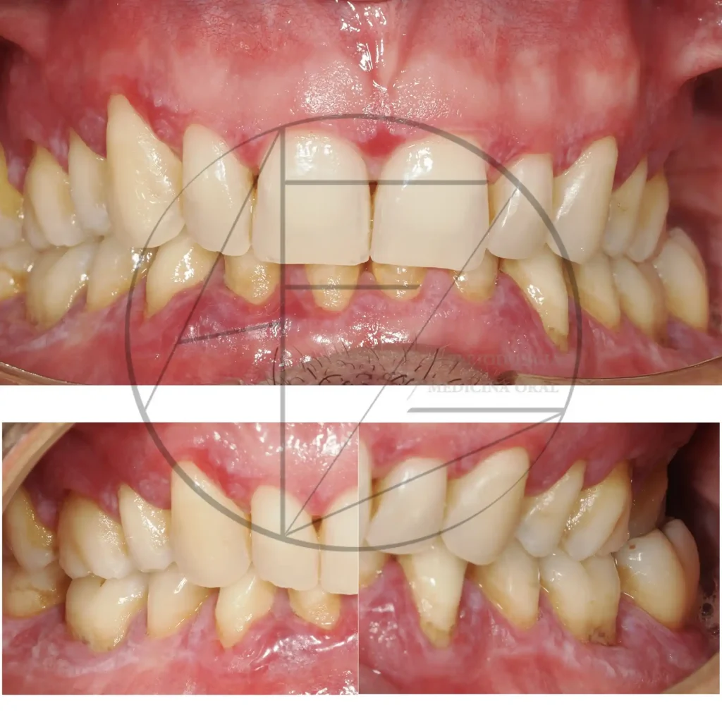
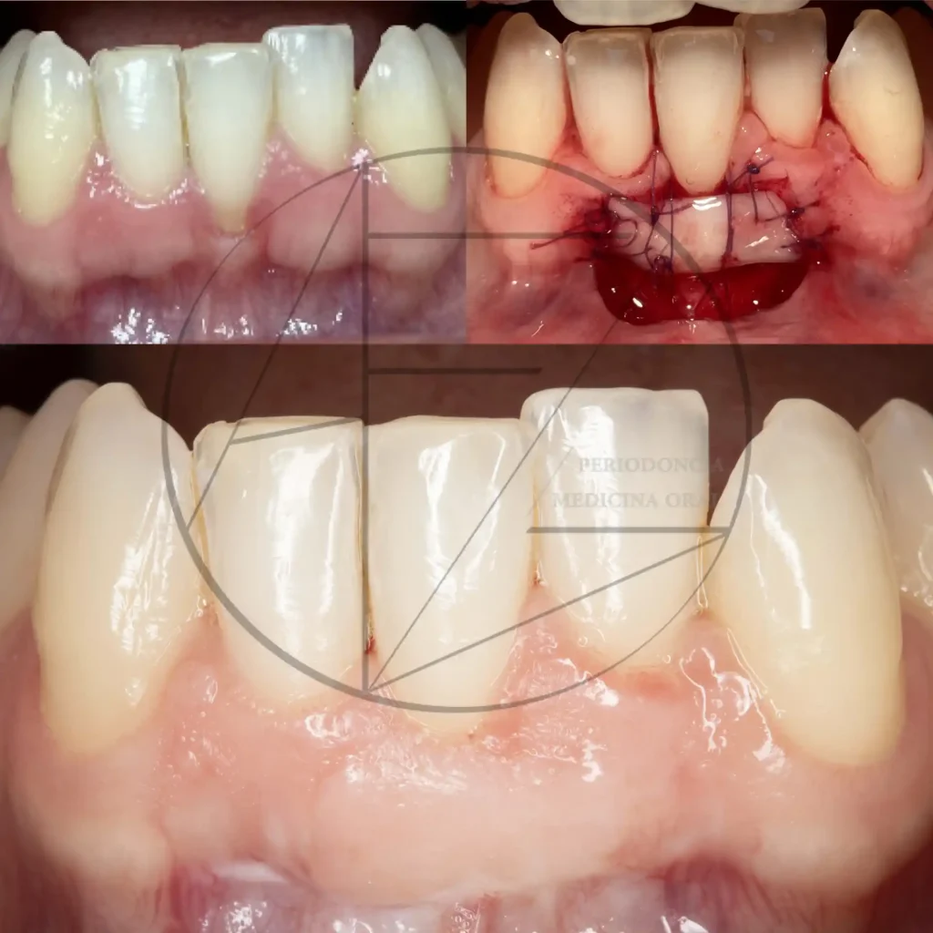
Recesiones gingivales
Afta
Lengua geográfica
Periodonitis
Periimplantitis
Efectos secundarios del tratamiento del cáncer
Contacto
Advertencia: seguirnos puede mejorar tu salud oral
También puedes enviarnos un correo a info@anafuenmayorgarces.com
Atención totalmente personalizada
Mi objetivo es ayudarte a mejorar tu salud bucodental y prevenir problemas a través de un cuidado profesional y adaptado a tus necesidades.
Nuestros pacientes
Publicado en Ramiro CasimiruTrustindex verifica que la fuente original de la reseña sea Google. La doctora destaca por su profesionalidad, trato cercano y atención al detalle. Transmite confianza desde el primer momento y explica cada procedimiento con claridad. Una excelente opción para quienes buscan un servicio dental serio y de calidad.